
冬季東北季風凜冽,氣溫驟降會造成血管收縮、血壓波動,聯新國際醫院心臟血管外科醫師楊凱迪提醒,寒冷會加劇原本狹窄的動脈循環不良,增加下肢動脈阻塞性疾病惡化與血栓形成機率;若出現腿痠麻、疼痛、下肢冰冷或傷口久不癒合,恐已是血流不足警訊,一旦延誤治療,血管完全阻塞恐導致組織壞死甚至截肢。

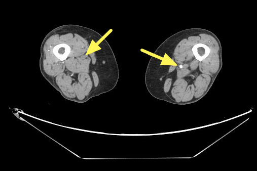
楊凱迪近期診治一位64歲長期洗腎的女性患者,數月來反覆出現下肢刺痛,夜深與洗腎後特別明顯,同時右小腿與腳踝各有一處約3×5公分久未癒合的慢性傷口。整形外科醫師清創時發現傷口幾乎沒有出血,轉介心臟血管外科,經「踝臂血壓指數(ABI)檢查」左右腳分別為僅約0.67及0.64,代表下肢血流循環不良。電腦斷層血管攝影更顯示雙側股動脈及膕動脈嚴重狹窄。

醫療團隊與患者溝通後,決定採行「微創導管血管內介入治療」,目前的血管內治療,除了常見的血管內氣球擴張與支架放置,亦可使用「機械式除栓裝置」,清除血管壁上的鈣化斑塊。搭配「血管內超音波(IVUS)」提供斑塊的即時三維影像,協助醫師精準定位斑塊方位。楊凱迪解釋,傳統氣球擴張術雖能推開斑塊,但術後易再狹窄,若能清除斑塊,再使用「塗藥氣球」或「塗藥支架」維持血管管徑,可有效維持血管長期通暢。相較傳統除栓手術需大範圍切開整條血管相比,微創導管僅需2至3毫米的穿刺傷口,傷口極小,對高齡、洗腎或多重慢性病患者,提供更安全有效的選擇。
下肢動脈阻塞性疾病屬於動脈粥狀硬化引起的「血管老化病變」,隨年齡增長,內膜增生與斑塊堆積使動脈逐漸狹窄甚至阻塞,導致末梢組織缺血壞死。流行病學顯示,此病好發於50歲以上族群,65歲後發生率明顯上升,80歲以上更是每五人就有一人受影響,且男性症狀較女性明顯。
動脈粥狀硬化為全身性血管疾病,若阻塞發生在腦部即為腦中風,在心臟為心肌梗塞,位於下肢便形成下肢動脈阻塞。但初期症狀不易察覺,包括走一小段路即出現腿部劇痛需停下休息(間歇性跛行)、下肢冰冷、皮膚無光澤、趾甲增厚及傷口長期不癒等,讓患者誤以為是退化或疲勞,等到潰瘍惡化、腳趾發黑或劇痛難耐就醫時,已進入重度缺血階段。
更危險的是當斑塊因受血壓劇烈波動生成血栓,恐引發急性阻塞,就是俗稱「腳中風」。楊凱迪指出,若出現突發劇痛、皮膚蒼白、脈搏消失、感覺異常與肢體癱瘓等典型「5P症狀」,代表已發生急性缺血,若4至6小時內未能恢復血流,組織恐將出現不可逆壞死,讓截肢風險驟升。
冬天民眾常泡溫泉促進循環,楊凱迪提醒,年長族群應避免劇烈冷熱交替泡溫泉,極端溫差會導致血壓劇烈波動,增加斑塊破裂與血栓風險;泡湯前後應補充水分,避免脫水。糖尿病或年長患者因肢端感覺遲鈍,使用暖暖包時勿緊貼皮膚以免燙傷。建議選擇溫和、非浸熱式的外部熱源,如醫療用遠紅外線,溫度約38℃,較為安全且能促進新生血管生長。
楊凱迪強調,下肢動脈阻塞性疾病不是「小毛病」,而是攸關肢體存亡的血管急症。當民眾出現腿痠疼痛、腳麻或傷口久治不癒,應提高警覺立即接受血流評估,及早介入治療,才能遠離下肢動脈阻塞悄無聲息的傷害。







