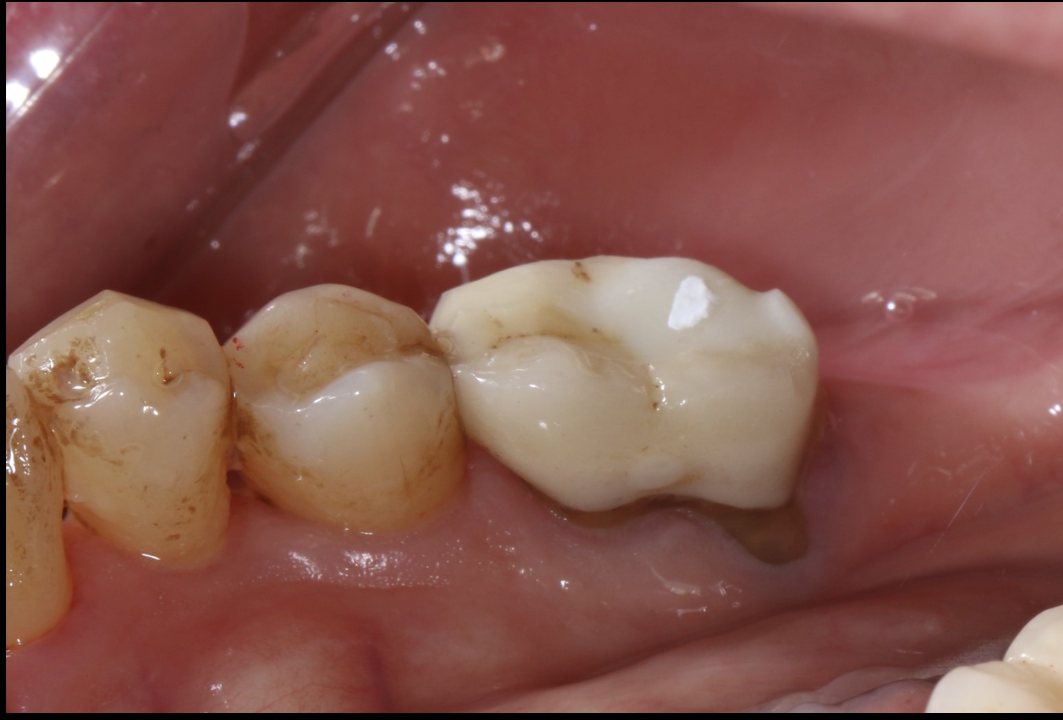
- 女主管未確實清潔牙齒,除了牙齒上有深色茶漬外,牙齒底部有明顯的牙菌斑。
- 牙周病是台灣成年人最常見的口腔健康問題之一。
- 根據衛生福利部國民健康署資料顯示,台灣35歲以上成人中,高達九成以上曾出現不同程度的牙周病變;而美國疾病管制與預防中心(CDC)也指出,30。
- Q:這篇在講什麼?
- A:女主管未確實清潔牙齒,除了牙齒上有深色茶漬外,牙齒底部有明顯的牙菌斑。
- Q:重點是什麼?
- A:牙周病是台灣成年人最常見的口腔健康問題之一。

牙周病是台灣成年人最常見的口腔健康問題之一。根據衛生福利部國民健康署資料顯示,台灣35歲以上成人中,高達九成以上曾出現不同程度的牙周病變;而美國疾病管制與預防中心(CDC)也指出,30歲以上成人約有47%具有牙周疾病症狀,顯示牙周健康議題在不同國家皆相當普遍,值得民眾提高警覺並加強日常清潔。

恩主公醫院牙醫部醫師趙冠齊表示,許多民眾因為牙周病在早期症狀輕微、甚至幾乎沒有不適,而延誤治療。牙周病初期常見牙齦紅腫、刷牙不易清潔乾淨、牙縫變大或口氣改變。當細菌長期累積於牙齦下方,發炎會逐漸破壞牙周組織與骨頭,使牙齒變得鬆動,嚴重時甚至會影響咀嚼與日常生活。趙冠齊分享一名60多歲的女性主管,因工作繁忙、三餐在外、作息不規律,雖然每天都有刷牙,但多年來刷牙方式不正確,加上清潔牙縫不足,使牙菌斑長期堆積。

然而,該名女主管並未將牙齦不適放在心上,直到牙齦腫痛明顯、部分牙齒出現搖動感才找上牙醫求診。經X光檢查後發現,她的牙周支持骨頭(齒槽骨)已出現大範圍吸收,屬於牙周病惡化的後期表現。趙冠齊提醒,「許多人認為有刷牙就夠了,但若沒有清到牙齦邊緣與牙縫,細菌就會在看不到的地方持續發炎。」
許多民眾認為「一天刷三次牙」代表有做好口腔保健,但趙冠齊強調,清潔的質量遠比刷牙的次數重要。刷牙角度錯誤、清潔時間太短、未確實清潔牙縫,都容易讓牙菌斑殘留。他說明,刷牙時應確實清潔牙齒外側、內側、咬合面與牙齦邊緣,至少有一次要做到「完整且細緻的清潔」。若牙縫較小,使用牙線會較恰當;若牙縫偏大或牙周支撐組織已退縮,牙間刷能更有效移除深處堆積的牙菌斑。
至於牙刷的選擇,應依牙齦厚度、牙縫大小與個人使用習慣調整刷毛軟硬及刷頭大小,沒有「一種牙刷最適合所有人」。醫師也備註,電動牙刷對清潔技巧較不熟練的民眾也有一定幫助,可維持比較穩定的清潔效果。
牙周病屬於慢性疾病,治療目標是「控制發炎」與「減緩惡化」,並非一次就能完全解決。臨床治療方式通常依嚴重程度不同而有差異,包括例行性洗牙,清除牙齒表面及牙齦邊緣的牙菌斑與牙結石,是維持牙周健康的基本步驟;以及深層牙周清創與根面整平,當發炎深入牙齦下方、細菌附著於牙根表面時,需要深入牙周囊袋進行刮除,以減少發炎;視嚴重度評估可以做牙周手術,在骨頭吸收嚴重、牙周囊袋過深時,醫師可能會評估是否需進行牙周翻瓣/再生手術,清除更深層的細菌與病變組織。趙冠齊指出,治療後的維持比治療當下更重要,患者必須改善清潔習慣並定期追蹤,才能真正穩定牙周狀況。
趙冠齊說明,若牙齦出現容易腫脹、按壓不適感、刷牙或吃東西後總覺得不夠乾淨,或是口臭持續加重、牙齒開始出現輕微晃動、牙縫變大、牙齦退縮等狀況,都是牙周健康惡化的警訊,甚至有些人會發現牙齒排列逐漸改變或出現縫隙,這些都是發炎長期破壞牙周組織的徵兆。他提醒,牙周病雖屬慢性,但造成的骨頭與牙周組織破壞多半不可逆,「越早處理,越能保留原生牙齒的功能。」
趙冠齊也呼籲民眾,牙周病並非無法避免,關鍵在日常的清潔與定期追蹤,建議每3至6個月進行一次口腔檢查與洗牙,養成正確的刷牙方式並確實清潔牙縫;若出現牙齦腫脹、不適或刷牙後仍覺得口腔不夠清潔,都應儘早尋求牙科協助。他再次強調,牙周病並不是突然發生,而是長期清潔不足的累積結果,只要從生活習慣著手,大多數牙周問題都能及早被發現並妥善控制。







